MENU
01
병원소개
02
임플란트/틀니
03
치아교정
04
심미치료
05
자연치아 살리기
06
커뮤니티
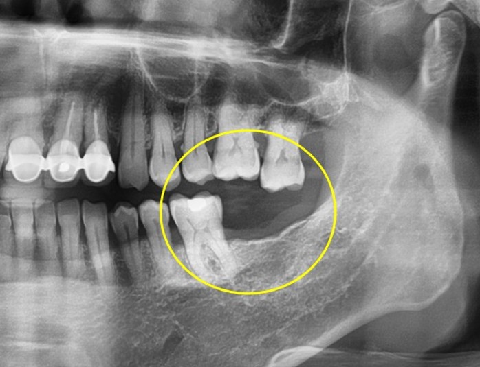
BEFORE AFTERBEFOREAFTER
보철교정
재교정
CLOSE
OPEN
032-216-2875
TOP