MENU
01
병원소개
02
임플란트/틀니
03
치아교정
04
심미치료
05
자연치아 살리기
06
커뮤니티
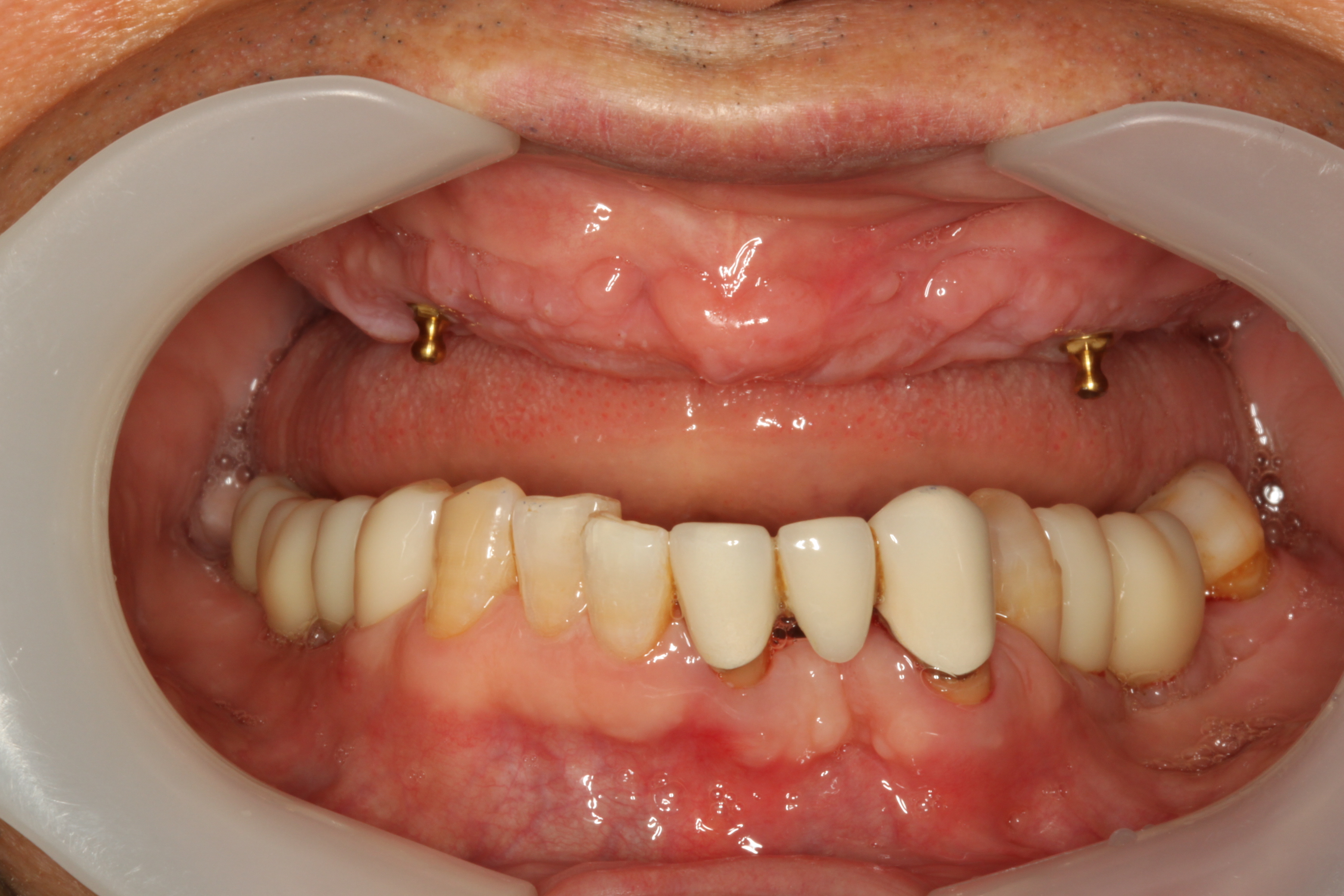
BEFOREAFTERBEFOREAFTER(식립)AFTER(착용)
전체틀니
임플란트 틀니
부분틀니
CLOSE
OPEN
032-216-2875
TOP