MENU
01
병원소개
02
임플란트/틀니
03
치아교정
04
심미치료
05
자연치아 살리기
06
커뮤니티
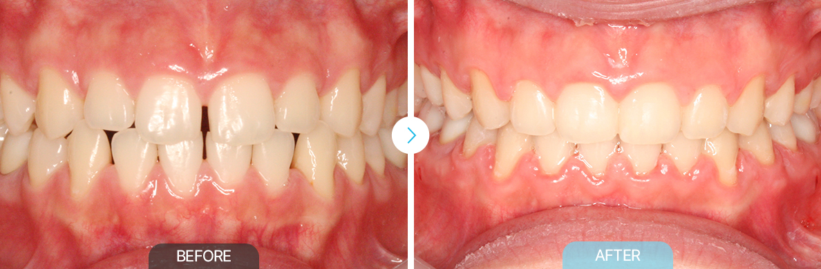
치료전후사진
앞니급속교정
덧니교정
돌출입교정
CLOSE
OPEN
032-216-2875
TOP