MENU
01
병원소개
02
임플란트/틀니
03
치아교정
04
심미치료
05
자연치아 살리기
06
커뮤니티
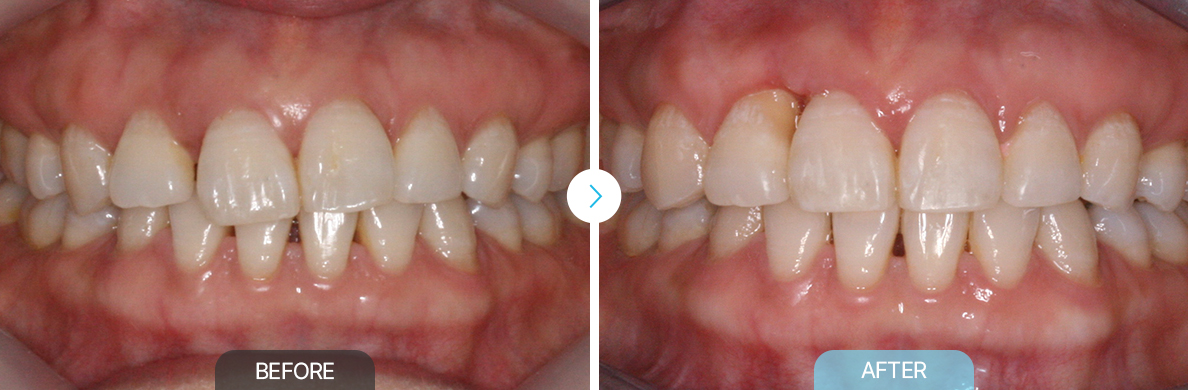
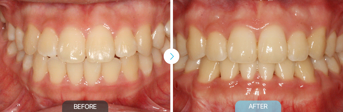
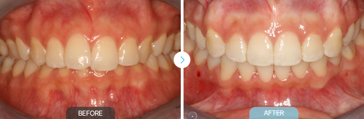
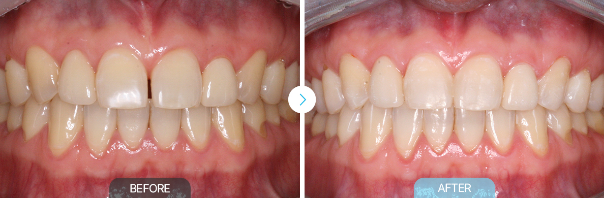
치료전후사진
재교정
부천 재교정, 부천상동 재교정, 부천 재교정치과 부천연세퍼스트치과 재교정, 부천치과, 부천상동 재교정치과
시각장애인을 위한 텍스트 정보 영역입니다.
CLOSE
OPEN
032-216-2875
TOP