MENU
01
병원소개
02
임플란트/틀니
03
치아교정
04
심미치료
05
자연치아 살리기
06
커뮤니티
치료전후사진
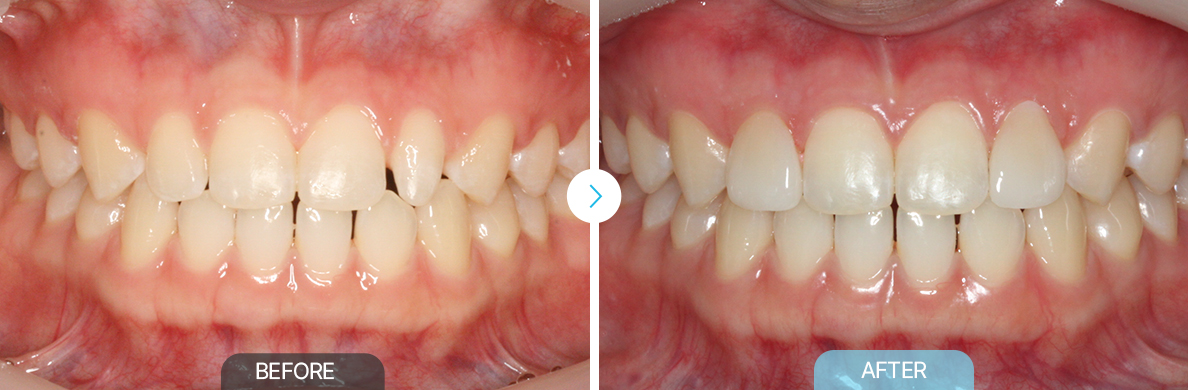
라미네이트
부천라미네이트, 부천치과, 부천상동라미네이트 라미네이트 부천연세퍼스트치과, 부천 라미네이트치과, 부천상동 라미네이트치과
시각장애인을 위한 텍스트 정보 영역입니다.
CLOSE
OPEN
032-216-2875
TOP